診療時間 10:00~13:00/15:00~20:00 ※火曜日のみ17:00まで
休診日 木曜・土曜午後・日曜・祝日
診療時間 10:00~13:00/15:00~20:00
※火曜日のみ17:00まで
休診日 木曜・土曜午後・日曜・祝日
向井歯科ブログ
BLOG
こんにちは。院長の向井です。
4月も半ばにさしかかり、
新年度の慌ただしさも
少し落ち着いたころでしょうか。
忙しい日々の中で、
少しでもゆっくりしたいところかもしれませんが、
「お口のケアがおろそかになっている」
ということはありませんか?
気になるところがある方は、
早めに治療をスタートさせましょう!
特に気をつけたいお口の病気が、歯周病です。
歯周病は、かなり進行するまで
痛みが出にくいのが特徴です。
そのため、気づいたときには
骨がだいぶ減っている、
という方も少なくありません。
初期のうちは自覚しづらいこともあり、
長い年月を経てから
「何とかしたい」とご相談に来られる
ケースが多い印象です。
その際
「なるべく安く」「短期間で」
といったご希望を持たれる方も
いらっしゃいます。
ただ、実際のところ
“簡単・早い・痛くない”といった
都合のいい方法があるわけではありません。
どうしても、時間とお金をかけて
少しずつ整えていく治療になります。
進行している場合は、
歯のぐらつきや骨の減少が見られ、
できることも限られてきます。
そうなる前に、できれば早めの段階で
しっかり向き合っていただくことが大切です。
また、過去に一度ご来院されていても、
通院が途切れてしまうと
結果的に症状が進んでしまうこともあります。
その積み重ねで、最終的には
入れ歯などの選択が必要になる
ケースも出てきます。
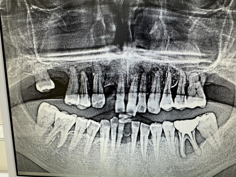
たとえば今回の例では、
十数年前に一度ご来院いただいていたものの、
治療をしっかり進めていくタイミングで
通院が途切れがちになり、
その後は間が空いてしまいました。
(2012年)
(2024年)
(2026年)
その影響もあり、気づかないうちに
歯がだいぶ抜け、骨もなくなってしまいました。
以前であれば「年齢とともに仕方ない」と
受け止められていた部分も
あったかもしれませんが、
現在はできるだけ
ご自身の歯を長く保つことが
重視される時代です。
治療からしばらく通院が空いている方は、
今の状態を知ることからで構いませんので、
ぜひ一度ご相談いただければと思います。
医療法人 紀文会 向井歯科
〒575-0033 大阪府四條畷市美田町7-10
TEL:072-862-0123
URL:https://mukai-dc.com/
Googleマップ:https://g.page/r/CZEPKHA_-020EAE?gm